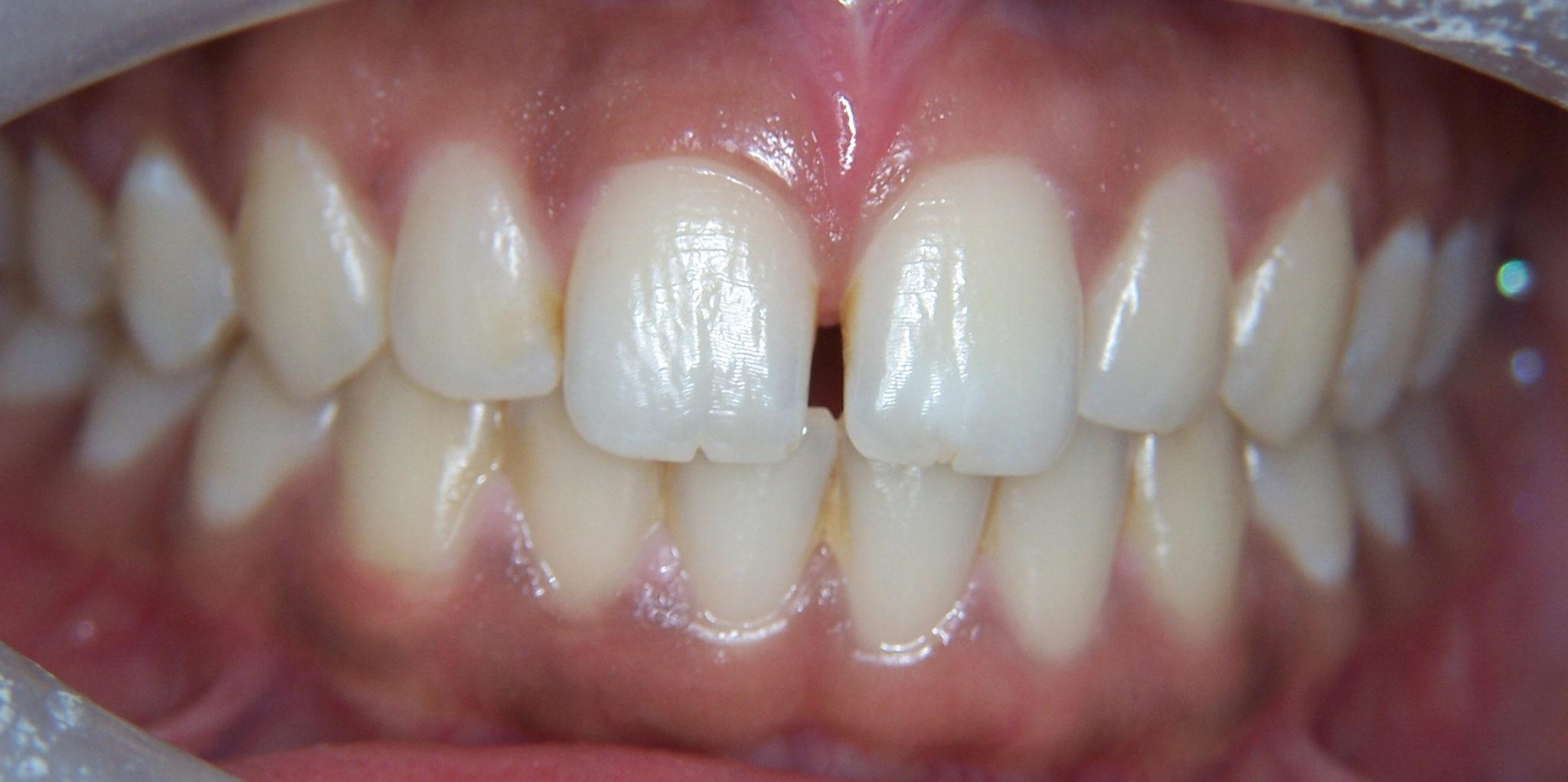
Spacing
“Dear Sheila and all the staff at Smile 101,
Thank you so much for everything! I am so happy with my new smile and definitely a lot more confident now J I was so happy with every single part of the treatment, everyone was so friendly and Sheila especially I cannot thank you enough.
Thank you so much again! Definitely have no regrets, I’ll be smiling 24/7 now J Trisha xxx”
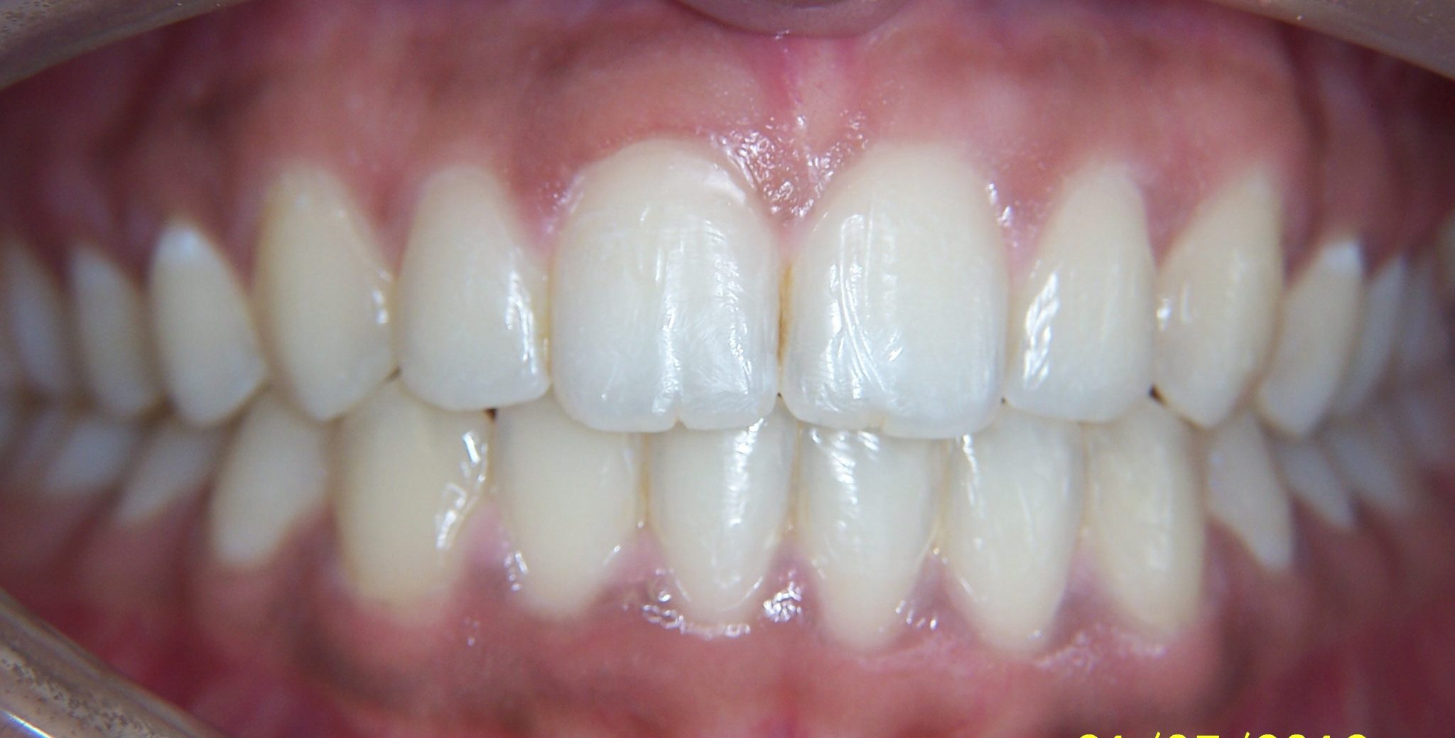
Before & After Photos
Orthodontists Notes
Patients Age
Treatment Time
Case Category
Appliance Used
Other
–
15 Months
Mild
Ceramics Upper and Lower
Med Student



