Request a call back:

Please complete the form

    Your Name (required)

    Your Email (required)

    Your Phone (required)

    Search
     

    Spaces

    Spaces

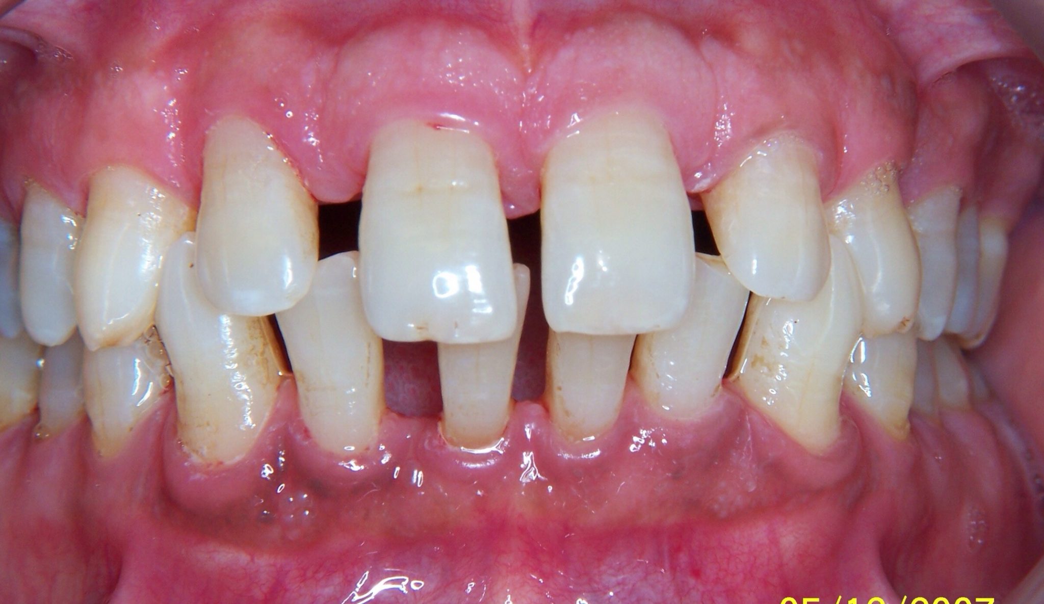
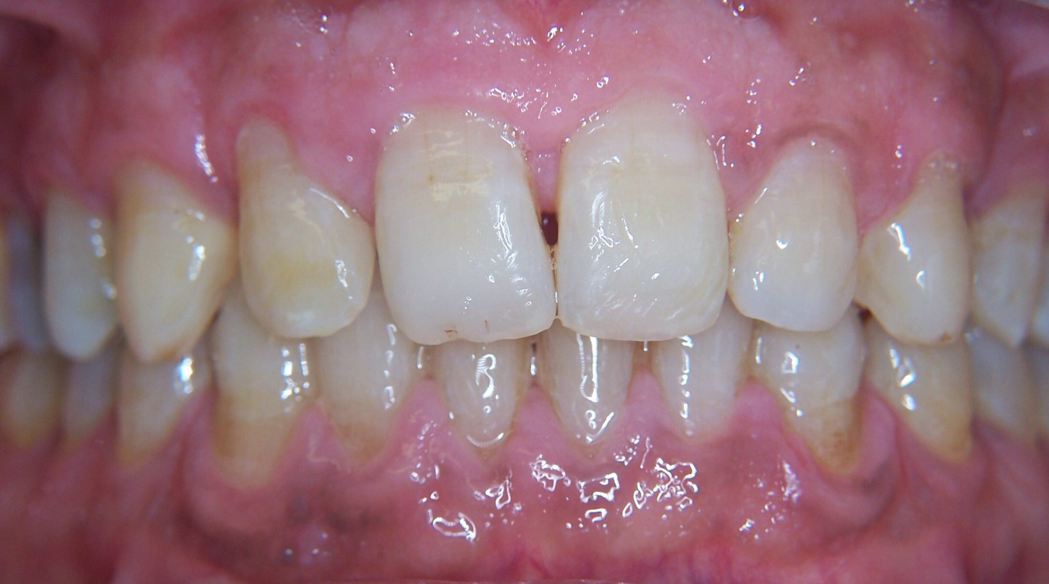
    Before & After Images

    Orthodontists Notes



    Patients Age
    Treatment Time
    Case Category
    Appliance Used
    Other



    28 Months
    Severe
    Upper and Lower Ceramic Braces
    International Businessman

    Free Smile Assessment

    Would you like to know if you can benefit from orthodontic treatment? We’ll be able to identify if treatment is necessary and provide an instant report showing your treatment options. Just upload a few photos of your teeth and get your dental report without leaving your home!

      Your Name (required)

      Your Phone Number (required)

      Your Email (required)

      Tell us more about what you'd like to fix

      Please upload a clear photo showing your teeth from the front

      Please upload a clear photo showing your teeth from one side

      Please upload a clear photo showing your teeth from the other side

      X
      Get started ->